
Kommt der Herzinfarkt wie aus heiterem Himmel?
Donnerstag, 24.11.2022
©Foto: stasknop, Adobe Stock
Mit dem Stand der heutigen Präventionsmedizin ist es möglich, das Risiko eines Herzinfarkts einschätzen zu können. Wie das geht, erklärt Dir unser Experte Prof. Dr. med. Uwe Nixdorff vom European Prevention Center.
Die rhetorische Frage wird seit Jahren von der Deutschen Herzstiftung gerne so gestellt. Nahezu jeder kennt jemanden, der ohne Vorwarnsymptome – sog. Prodromi – plötzlich umfällt und tot ist. Dieses tragische Ereignis wird „plötzlicher Herztod“ genannt und hat so gut wie immer einen Herzinfarkt zur Grundlage. Die hier gestellte Frage ist damit zu bejaen und dieser Blog damit erledigt.
Aber nein, …, denn nur das, was man weiß, macht einen auch „heiß“; i.e. bringt einen zu potentiellen präventiven Erkenntnissen, die angetan sind, sein Leben in Qualität und Quantität zu optimieren. Schließlich soll es uns nicht so gehen wie Kim Fixx, ein ambitionierter Marathonläufer der 60er Jahre, der damals auch den Stadtmarathon entwickelt hatte und der mit 56 Jahren während des Marathons tot umfiel. Ironischerweise waren seine Herzkranzarterien voller Cholesterineinlagerungen, sogenannten Plaques.
Das Dilemma wird weiter deutlich, wenn wir das sog. epidemiologische Rose-Paradox anschauen (1). Es ist nämlich zwar gut nachvollziehbar, dass die Rate eines plötzlichen Herztodes mit dem Schweregrad einer Herzkrankheit korreliert, aber wenn die absolute Rate des plötzlichen Herztodes betrachtet wird, so „qualifiziert“ sich die große Anzahl an Menschen nicht durch eine vorausgegangene Herzkrankheit. Nein, es ist die „unauffällige“ Gesamtbevölkerung, die es plötzlich treffen kann. In präventivmedizinischer Hinsicht kann es nicht mehr darum gehen, dass nur symptomatische Menschen die ärztliche Aufmerksamkeit erhalten.
Seit ca. 20 Jahren ist der pathophysiologische, also seitens der Krankheitslehre erklärbare Hintergrund der sog. Atherosklerose, diese Gefäßwandverdickung und -verkalkung, gut geklärt (Abb. 1). Es ist nämlich eine stille, unterschwellige Entzündung („silent inflammation“) des Körpers (2), die durch Übergewicht, fehlende Bewegung, Rauchen, aber auch traditionellen Risikofaktoren wie Bluthochdruck, Diabetes mellitus und insbesondere Fettstoffwechselstörungen mit erhöhtem LDL („bösen“) Cholesterin induziert wird. Es entstehen sog. atherosklerotische Plaques, die gar nicht einmal den Blutstrom zunächst blockieren, da sie noch flach sind. Die Menschen – wir sprechen gar nicht von Patienten – werden damit auch nicht symptomatisch und sind oft kaum in üblichen medizinischen Untersuchungen zugunsten direkter Bildgebungen wie Computertomographie (CT) nur erkennbar (3).
Und plötzlich – eben wie aus heiterem Himmel – kann es z.B. durch akuten Stress oder einer Blutdruckkrise zum Einriss, einer Ruptur, kommen. Diese wirkt sich auf das Gerinnungssystem wie eine akute, äußere Verletzung aus. Nur bei letzterer ist die Gerinnselbildung gut, da sich die Wunde verschließt und verheilt; im Gefäß drinnen ist sie schlecht, denn das Gerinnsel verschließt das Gefäß. Wenn dies in einer Herzkranzarterie passiert, wird der Herzmuskel akut nicht mehr mit Blut versorgt und es ist ganz plötzlich ein Herzinfarkt eingetreten (4).

Abb. 1. (aus (4)). Dargestellt wird die Jahrzehnte dauernde Atherosklerose als schematischer Querschnitt durch eine Arterie (auch Herzkranzarterie). Es ist die flache, aber vulnerable Plaque (A), die so tückisch ist, weniger die hochgradige, stabilere Verengung (G), die Ursache des plötzlichen Herzinfarktes und -todes darstellt. Die flache Plaque lässt noch genügend Blut durchfließen und macht sich damit nicht durch Prodromi wie z.B. Angina pectoris (Brustschmerz bei Belastungen) bemerkbar.
Die Konsequenz dieser Erkenntnisse kann nur sein, dass man nicht auf die Symptomatik wartet, die nicht selten initial tödlich ist. Es sollten die sog. kardiovaskulären Risikofaktoren allesamt erkannt werden. Diese können in einem sog. Score (5; Abb. 3) in ihren prognostischen Bedeutungen verrechnet werden und es entsteht ein prozentuales Gesamtrisiko eines zu erwartenden Herzinfarktes.

Abb. 2. (aus (5)). Dargestellt ist der sog. ESC HEART SCORE. Ein Ampelsystem (rot = schlechte Prognose; grün = günstige Prognose; gelb = mittlere Prognose) unterlegt prozentuale Zahlenwerte, die das prozentuale Gesamtrisiko eines tödlichen oder nicht-tödlichen Herzinfarktes in den nächsten 10 Jahren darstellt. Als einzelne Risikofaktoren geht das Geschlecht, das Alter, das Rauchen, der Blutdruck und das Cholesterin ein.
Weiterhin können erste Veränderungen mit diagnostischen Früherkennungsmethoden wie moderner Bildgebung erkannt werden (Abb. 3). Hier ist wissenschaftlich insbesondere das mittels Scores festgestellte mittlere Risiko im mittleren Alter eine prädestinierte Gruppe von gesundheitsorientierten Menschen. Bei niedrigem Risiko bleibt eine weitere Früherkennung weniger effektiv, da meist keine relevanten Befunde provoziert wurden. Ein höheres Risiko ist bereits sehr hoch und lässt keine wesentlichen therapierelevanten weiteren Erkenntnisse durch weitergehende Diagnostik erwarten.


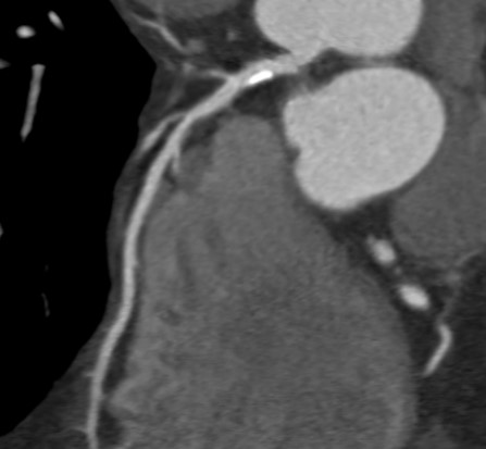
Abb. 3. (Bildmaterial der EPC GmbH – European Prevention Center). Dargestellt ist ein Kalkplaque am Abgang der vorderen absteigenden Herzkranzarterie in einer Herz-Computertomographie (CT) eines 56-jährigen Check-Up-Individuums ohne jegliche Symptomatik.
Aus diesen Erkenntnissen erwächst dann eine personalisierte Beratung zum Lebensstil, dies in allen 3 Lebensstilsäulen von Bewegung, Ernährung und Entspannung, aber auch Suchtproblemen wie Nikotin- oder Alkoholabusus, teilweise auch schon präventive Medikamenten oder bestimmten Supplementierungen (wozu jeweils weitere Blog-Berichte handeln werden), die in belegter Weise die Prognose sehr gut verbessern können(5).
In diesem Sinn: Bleiben Sie gesund und vital!
Soweit für heute und voller Lebensfreude bis zum nächsten Mal …
Ihr

Prof. Dr. med. U. Nixdorff, F.E.S.C.
Internist, Kardiologe, Sportmediziner

Professor Dr. med. Uwe Nixdorff ist Experte für Herzerkrankungen. Der Facharzt für Innere Medizin mit den Schwerpunkten Kardiologie und Sportmedizin ist ärztlicher Geschäftsführer und Gründer des European Prevention Centers (hier geht’s zur Website) sowie ärztlicher Geschäftsführer von Hanako Health (hier geht’s zur Website).
Referenzen
(1) Huikuri HV, Castellanos A, Myerburg RJ. Sudden death due to cardiac arrhythmias. N Engl J Med 2001; 345:1473-82
(2) Libby P, Ridker P, Maseri A. Inflammation and atherosclerosis. Circulation 2002; 105:1135-43
(3) Nixdorff U, Achenbach S, Bengel F, et al. Imaging in cardiovascular prevention. The ESC Textbook of Preventive Cardiology. Oxford Press 2016; pp 54-76
(4) Naghavi M, Libby P, Falk E, et al. From vulnerable plaque to vulnerable patient: a call for new definitions and risk assessment strategies: Part I. Circulation 2003; 108:1664-72
(5) Visseren FLJ, Mach F, Smulders YM, et al. 2021 ESC Guidelines on cardiovascular disease prevention in clinical practice. Eur Heart J 2021; 42:3237-337
Andere Artikel
17. November 2025
Stoffwechseltraining
Finde die „richtige“ Strategie für dein persönliches Stoffwechseltraining! Im 3. Teil seiner Reihe verrät dir Dr. Gimbel, was zu tun ist.
6. Oktober 2025
Healthy Longevity
Gesund alt werden: Prof. Dr. Nixdorff zeigt dir neue Ansätze, wie du deine Lebensjahre vitaler und erfüllter gestalten kannst.
21. August 2025
Stoffwechseltraining
Was bringt dir eine Stoffwechselanalyse? Erfahre dazu mehr im 2. Teil zum Thema Stoffwechseltraining ➔ Dr. Gimbel gibt Dir einen Einblick


